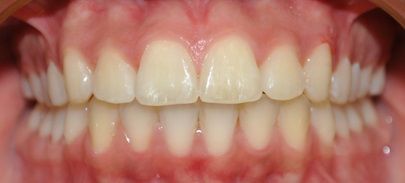
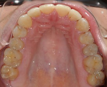
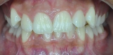
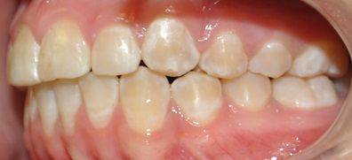
Miss A

Miss B

Miss C

Testimonials

What our clients have to say